
Full Mouth Reconstruction
Do You Feel Your Smile Could Be Better?
You should never feel embarrassed or anxious about your smile. Contact our Austin, TX, practice today to talk about a full mouth reconstruction. Many people feel the same way about their smiles. In fact, an American Dental Association study found:

What Is Full Mouth Reconstruction?
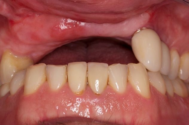
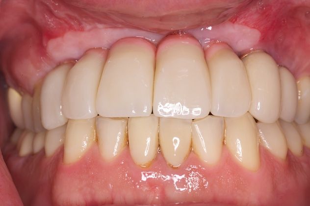
A full mouth reconstruction combines multiple customized restorative treatments to repair your smile and restore important oral functions. Your dentist will thoroughly assess your teeth, jaws, and other tissues to determine the best restorative solutions for your treatment plan.
The cosmetics-focused version of this procedure is called a smile makeover. Depending on your goals, your dentist may also include smile makeover treatments (such as veneers) in your full mouth reconstruction plan.
Ready to Repair Your Smile? Contact Our Austin, TX, Dentists to Make It Happen
Improve your smile, oral functions, and most importantly, your quality of life with a customized full mouth reconstruction by our esteemed, highly educated dentists. With over 40 years of combined experience, Dr. Mike Meek and Dr. David Tasch can blend advanced dentistry techniques with the latest and best digital technology to restore your smile as precisely and comfortably as possible.
If receiving world-class, personalized dental care at a modern, inviting practice interests you, reach out to our Austin, TX, dental office today for a consultation. Just use our simple online form or give us a call anytime. Our dentists look forward to discussing your full mouth reconstruction.
I love Dr. Tasch and this practice. Dr. Tasch truly listens, and I'm so lucky to have found him. Everyone at 38th Street is so professional and kind. They always listen to my concerns, and give me the BEST treatment plan, that I can afford.
View on GoogleCommon Full Mouth Reconstruction Procedures
Dental Implants
Dental implants are artificial tooth roots surgically placed in your jaw where teeth are missing. Lifelike, fully functional dentures, crowns, or bridges can be attached to the implants to replace the tooth from root to chewing surface. Implant-supported dentures provide far more stability than traditional dentures. Our practice only uses the most advanced materials for this procedure, including Nobel Biocare® implants.
Fillings
Fillings are the most common treatment for small to medium cavities. This tooth-colored restoration will strengthen and seal your tooth.
Dental Crowns
A customized crown can protect a compromised tooth after treatment or replace a lost tooth in conjunction with a dental implant. Our dentists work carefully when providing dental crowns to ensure the results look natural, feel comfortable, and provide the needed support.
Bridges
Custom-made dental bridges can replace multiple missing teeth. Along with traditional bridges, which will attach to your teeth, we also offer implant-supported bridges.
Root Canal Therapy
Our dentists can eliminate a dental infection by removing the soft inner tissue of the tooth. The exterior of your tooth will be restored with a customized dental crown.
Veneers
These thin but very strong porcelain shells fit right over damaged or stained teeth to hide various flaws. They are precisely customized to blend in with your existing teeth.
More 5-Star Reviews for 38th Street Dental
Before my visit I was so nervous because I don’t like the dentist and I had not had a cleaning in a while. From the front office staff to the hygienists to my dentist I felt a very warm welcome! Regina gave me the best cleaning I’ve ever had! The whole experience was pain free and all of my questions were answered. If you have dentist anxiety this is the place for you, trust me! :)
View on GoogleDr. Meek , Melissa and Patti along with the entire 38th St. team are just amazing. The time and care they've taken to find me a solution is amazing. Go see Dr. Meek or Dr. Tasch. You won't regret it.
View on Google
Full Mouth Reconstruction FAQs
Am I a Full Mouth
Reconstruction Candidate?
Full mouth reconstruction performed at our welcoming Austin, TX, office can address a broad spectrum of dental health issues. If you suffer from a combination of any of the following concerns, reconstruction may be right for you:
- Missing teeth
- Loose teeth
- Cracked teeth
- Decay
- Weakened teeth
- Jawbone recession
- Gum disease
Is Full Mouth Reconstruction Covered by My Insurance?
While many full mouth reconstruction procedures are at least partially covered by insurance (such as fillings and crowns), other treatments are not (such as implants). Contact us to learn more about cost factors of full mouth reconstruction.
We Offer Financing to Make Treatment Accessible
Fortunately, we accept payment through third-party lenders CareCredit® and LendingClub, so out-of-pocket costs are easier to manage.
How Long Does Full
Mouth Reconstruction Take?
The length of time it takes for patients to undergo full mouth reconstruction is dependent on the amount of work that needs to be done. Simpler, more straightforward cases may be a matter of a few visits to complete; others that require more involved treatment — such as implant placement and other dental surgeries — may have their work completed over the course of several months or a year.
When you visit our office for a consultation, your dentist will go over an anticipated timeframe for your treatment and walk you through what you can expect from a full mouth reconstruction.
Are There Any Risks I Should Know About?
Implant failure and infection are two possible risks of full mouth reconstruction. However, our practice follows rigorous safety protocols, so these risks are efficiently managed and greatly reduced. We also have very high standards for implant candidacy.
Is Full Mouth Reconstruction Painful?
Our dentists know that many patients are nervous about pain and dentistry in general. Safe, calming sedation dentistry is offered to help you experience pain-free relaxation through your procedures. Options include:
Nitrous Oxide
Known as laughing gas, you'll breathe this mild sedation in through a mask to put you in a relaxed, but completely conscious state. The effects wear off quickly once the procedure is done so you can drive yourself home.
Oral Sedation
By taking a prescribed sedative before your appointment, you will be extremely drowsy during your procedure. You will reach a state of twilight sleep, but you won't be unconscious. A ride to and from your appointment will be necessary.
Combining Full Mouth Reconstruction With Professional Teeth Whitening
If you come to our practice feeling that your smile is hopelessly compromised, you're likely most concerned about your comfort and health. But professional teeth whitening can give you the extra boost of confidence that results from a complete, healthy smile. We often recommend whitening before any restorations are placed so that you can choose a brighter, more youthful shade for your crowns, bridges, or dentures.

"Go see Dr. Meek or Dr. Tasch. You won't regret it."
Dr. Meek , Melissa and Patti along with the entire 38th St. team are just amazing. The time and care they've taken to find me a solution is amazing. Go see Dr. Meek or Dr. Tasch. You won't regret it.
View on GoogleAs a patient for almost 12 years I could not be happier with the service and people at 38th St. Dental!!
View on Google














