
Same-Day Dental Implants
5 Benefits of Same-Day Implants
No Waiting for Restorations
After traditional implant surgery, patients go through months of healing before they receive their restorations. With a same-day dental implant restoration, you can enjoy a beautiful and functional smile right away.
Convenient Surgery Location
The oral surgeon we refer our patients to is literally next door. No driving to two different locations to complete the entire treatment process.
Only One Surgery
Traditional implants require two surgeries and healing periods: one to place the implants, and another to place the abutments that will connect the implants to the restoration.
Saves You Time and Money
Since you can see an oral surgeon and then our dentists back to back, you don't need to schedule multiple, expensive dental appointments in order to restore your smile.
A Comfortable Experience
Your oral surgeon will use local anesthetic and gentle sedation to keep you pain-free during the surgery. You'll still be under their effects when you come next door to our Austin, TX, dental office for placement of your same-day restoration.
Are Dental Implants Effective?
/
Implants Can Improve Jaw Bone Health

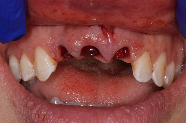
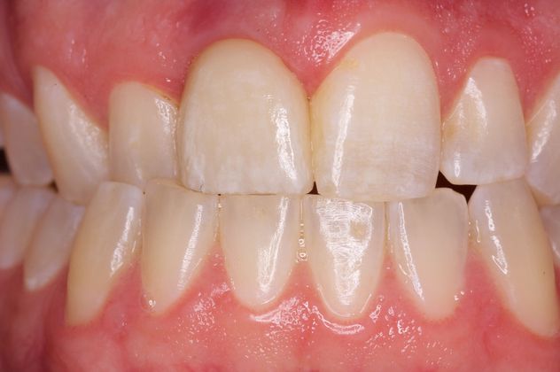
A Same-Day Dental Implant Transformation
5-Star Reviews from Our Smiling Patients "Great experience from start to finish."
Just a wonderful place. Dental care usually scares me but 38th Street Dental is a nice and friendly place with staff that works hard in being open and honest about dental care. They are upfront about the cost and try to work with you. I highly recommend them.
View on GoogleGreat experience from start to finish. First time visiting the dentist since the pandemic and I selected the right office. Nice use of technology to make the appointment convenient and wonderful people every step of the patient journey.
View on GoogleWho Wouldn't Qualify for Same-Day Implants?
If you are missing a full arch of teeth and have poor jawbone density, you may be better suited to All-on-4 dental implants instead of traditional dental implants.
- If you are missing most or all of your teeth, the oral surgeon may perform an All-on-4 implant procedure, which involves four implants per top or bottom jaw.
- In this case, our dentist would provide you with same-day temporary restorations to wear until your jaw and gums are completely healed. Then, your customized permanent denture would be placed at our Austin, TX, office at a separate appointment.
The Same-Day Dental Implant Restoration Procedure
We can often complete the entire same-day dental implant restoration process in less than an hour.



